AI for Healthcare
and Medicine
Optimize business operations by automating KYC processes, commercial document classifications, and insurance claims investigations
Elloe powers computer vision solutions for top-tier healthcare companies.
Free Up More Time For Patients
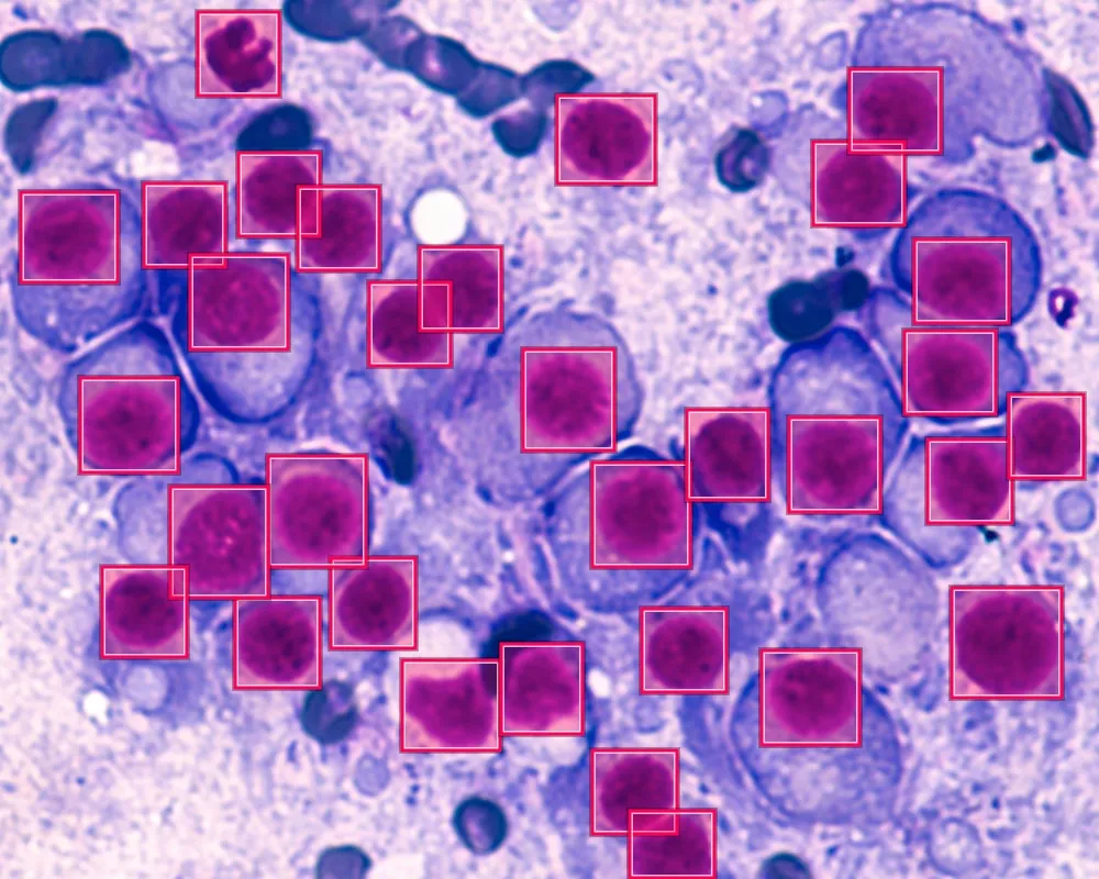
Medical professionals process an overwhelming amount of information each and every day. Computer vision eases this burden by streamlining diagnostic and procedural operations.











